Blog: Das Aerenchym bei Seerosen und seine Bedeutung (7196)
Schwimmende Blätter und leuchtende Blüten, die elegant an der Wasseroberfläche schwimmen – all dies verdanken Seerosen einem besonderen Gewebe im Inneren ihrer Blätter und Stängel: Dem Aerenchym. Dieses luftgefüllte Gewebe spielt eine zentrale Rolle für Auftrieb, Stabilität und Sauerstoffversorgung.
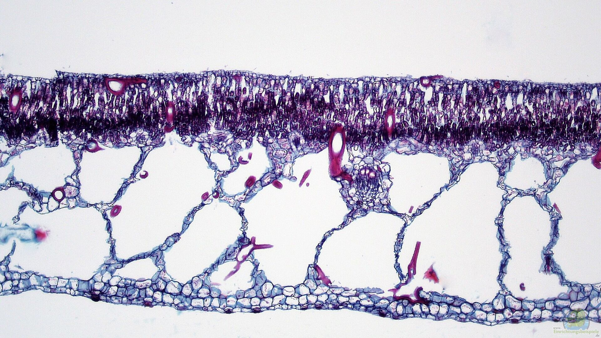
Aufbau und Funktion des Aerenchyms
Das Aerenchym ist ein schwammartiges Gewebe mit großen, luftgefüllten Hohlräumen, das in Blättern, Stängeln und teilweise auch in den Rhizomen von Seerosen vorkommt. Diese Luftkammern dienen zunächst einmal der Auftriebssicherung: Sie sorgen dafür, dass die Blätter und Blüten an der Wasseroberfläche bleiben. So kann die Pflanze effizient Photosynthese betreiben und ihre Blüten werden für Insekten als Bestäuber gut sichtbar.
Ein weiterer zentraler Nutzen des Aerenchyms liegt im Sauerstofftransport: Das Aerenchym ermöglicht es, dass Sauerstoff aus den über Wasser liegenden Pflanzenteilen in die Wurzeln und Rhizome transportiert wird. Auf diese Weise überlebt die Pflanze auch in schlammigen, sauerstoffarmen Teichböden.
Darüber hinaus trägt das luftgefüllte Gewebe zur Flexibilität der Pflanze bei. Blätter und Stängel können sich leichter an Strömungen, Wind und Wellenbewegungen anpassen, ohne dass sie beschädigt werden.
Aufschwimmen vermeiden
Normalerweise verhindern die Rhizome und Wurzeln der Seerose, dass die Teichpflanze mitsamt Pflanzkorb an die Oberfläche treibt, da sie fest im Substrat verankert sind. Wenn die Wurzeln allerdings nicht ausreichend Halt finden, etwa weil der Pflanzkorb zu klein oder nur locker mit leichtem Substrat gefüllt ist, dann kann es vorkommen, dass die Seerose aufschwimmt.
Um dies zu vermeiden, sollte der Pflanzkorb ausreichend groß sein und mit schwerem Substrat gefüllt werden, sodass die Wurzeln eine stabile Verankerung aufbauen können. Wer ohne Korb pflanzt, kann die Pflanze beschweren indem Steine am Rhizom befestigt werden.
In der freien Natur ist dieses Problem kaum relevant. Dort finden die Rhizome in Schlamm und Teichboden genügend Halt, sodass die Pflanzen trotz des Aerenchyms sicher am Gewässerboden verankert bleiben.
Autorin: Caroline Haller für www.einrichtungsbeispiele.de







